Виниры — это композитные, керамические или фарфоровые пластинки, установленные на вестибулярную поверхность передних зубов. Виниры позволяют в кратчайшие сроки восстановить даже те зубы, которые были значительно повреждены или разрушены до уровня десны. Виниры совершенно неотличимы от настоящих зубов, так как подбираются и изготавливаются с учетом цвета зубов пациента.
Существует несколько видов виниров, различающихся по материалу, из которого они изготовлены. Стоимость виниров также не в последнюю очередь зависит от материала и технологии изготовления.
Композитные виниры. По сути, эта технология является ювелирной, художественной реставрацией зубов. Такие виниры изготавливаются из композитного (пломбировочного) материала непосредственно во рту пациента. Их преимуществами является быстрота (установка композитных виниров занимает всего одно посещение) и щадящая технология (не требуется обтачивать зубы, снимая значительный слой эмали).
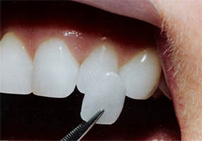
Керамические виниры изготавливаются в лаборатории из керамики или медицинского фарфора и фиксируются цементом к поверхности предварительно обточенного зуба. Такой способ реставрации подходит для восстановления зубов, которые изменили цвет, истерлись или были значительно повреждены.
Виниры можно установить как на интактные (здоровые) зубы, так и на депульпированные зубы, пролеченные после осложненного кариеса. Большинство виниров изготавливается для фронтальных зубов (зона улыбки), поэтому одним из важнейших этапов в реставрационной технике является сохранение контактных пунктов на зубе или их моделирование на винире. При этом нельзя допускать «приклеивания» к соседним зубам, чтобы не нарушить физиологической подвижности зуба и избежать неправильного распределения нагрузки при жевании.

